🤕 **장염인 줄 알았는데… 체중 감소까지 동반됐다면
‘이 질환’, 그냥 넘기면 안 됩니다**
처음엔 다들 그렇게 말합니다.
“배탈이겠지.”
“며칠 굶으면 괜찮아질 거야.”
“요즘 스트레스가 많아서 그래.”
하지만 어떤 사람들은
설사가 멎지 않고,
복통은 오히려 깊어지고,
어느새 체중계 숫자가 눈에 띄게 줄어 있습니다.
여기서 질문 하나.
장염인데, 왜 살이 빠질까요?
이 순간부터 이야기는 달라집니다.

장염과 염증성 장 질환, 겉모습은 닮았지만 본질은 다릅니다
장염은 손님입니다.
들어왔다가, 머물다, 떠납니다.
하지만 염증성 장 질환(IBD) 은
집 안에 생긴 곰팡이에 가깝습니다.
겉에서 닦아도,
속에서 계속 자랍니다.
이를 비유하면 이렇습니다.
- 장염 → 갑작스러운 폭우
- 염증성 장 질환 → 지반이 무너지는 장마철
비는 그치지만,
땅은 계속 약해집니다.
숫자가 말해주는 경고
- 국내 염증성 장 질환 환자 수: 약 10만 명 이상
- 20~40대에서 급증
- 진단까지 평균 1~2년 지연
- 환자의 60% 이상이
“처음엔 장염인 줄 알았다”고 말합니다
그리고 가장 중요한 숫자 하나.
체중 감소 + 만성 복통
이 조합은 단순 장염보다
염증성 장 질환에서 훨씬 흔합니다.

이런 신호가 함께 온다면, 그냥 장염이 아닐 수 있습니다
- 설사가 2주 이상 지속
- 복통이 파도처럼 반복
- 밤에 통증 때문에 잠에서 깸
- 이유 없는 체중 감소
- 피 섞인 변, 점액변
- 계속되는 피로감
이쯤 되면
몸은 이미 말하고 있습니다.
“이건 잠깐이 아니야.”
왜 염증성 장 질환은 발견이 늦어질까
이 병은 소리 없이 사람을 지치게 합니다.
- 출근은 하지만 집중이 안 되고
- 약속은 취소가 잦아지고
- 화장실 위치부터 확인하게 되고
- “괜히 예민한 사람”이 되어갑니다
주변은 말합니다.
“너 원래 배 약하잖아.”
하지만 사실은
장 점막이 매일 조금씩 상처를 입고 있는 중입니다.

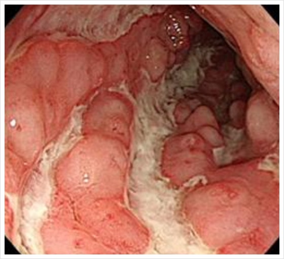
염증성 장 질환은 ‘완치’보다 ‘관리’의 병입니다
크론병, 궤양성 대장염으로 대표되는
염증성 장 질환은
현재 의학으로 완치가 어렵습니다.
하지만 희망은 분명합니다.
- 조기 진단 → 장 손상 최소화
- 꾸준한 치료 → 정상 생활 가능
- 관리 실패 → 협착, 출혈, 수술 위험 증가
즉,
언제 발견하느냐가 인생의 난이도를 바꿉니다.
일상에서 할 수 있는 현실적인 대응
이 병을 막을 수는 없어도,
늦추고 덜 아프게 살 수는 있습니다.
✔ “장염 같다”는 생각이 2주 넘으면 병원
✔ 체중 감소는 절대 무시하지 않기
✔ 증상 일기 작성 (설사·통증·식사)
✔ 자의적 단식·민간요법 피하기
✔ 인터넷보다 소화기내과 전문의 찾기

이 글이 필요한 사람은 ‘아픈 사람’만이 아닙니다
지금은 괜찮지만
누군가는 이렇게 살고 있습니다.
- 매일 배를 움켜쥐며 출근하는 사람
- 화장실 때문에 여행을 포기한 사람
- “예민한 성격”으로 오해받는 사람
이 병은
의지의 문제가 아니라
염증의 문제입니다.
소화기센터 > 주요질환 > 염증성 장질환 | 분당서울대학교병원
염즘성 장질환 염증성 장질환 염증성 장질환은 장에 발생하는 원인 불명의 만성적인 염증을 뜻하며 통상적으로는 특발성 염증성장질환인 궤양성대장염과 크론병을 지칭하지만 우리나라에 비
www.snubh.org
마지막으로, 당신에게 묻습니다
지금 떠오르는 얼굴이 있나요?
혹은…
이 글을 읽으며 계속 자기 몸이 생각났나요?
“이 정도면 괜찮겠지”라는 말이 혹시 너무 오래 반복되고 있진 않나요?
염증성 장 질환은
조용하지만 집요합니다.
그리고 아주 솔직합니다.
몸은 늘 신호를 보냅니다.
우리가 듣지 않았을 뿐입니다.
오늘 이 글이
누군가에게는
병명을 알게 되는 시작이 아니라,
의심해볼 용기가 되기를 바랍니다.
'건강 알고갑시다' 카테고리의 다른 글
| “임산부, 진통제 드셔도 됩니다...자폐 유발한다 은 거짓" (0) | 2026.01.18 |
|---|---|
| 아침에 견과류+요구르트, 저녁에 순두부 먹었더니…혈당 스파이크, 단백질에 변화가? (0) | 2026.01.15 |
| “감기 같았는데 모두 잠자다 숨져” (1) | 2026.01.11 |
| "유독 어려 보이는 사람들의 ‘7가지 습관’… " (0) | 2026.01.08 |
| "조용히 우리의 건강을 해치는 6가지 습관" (0) | 2026.01.06 |
